Fastbraces® Technology allows for shorter treatment time and amazing results. The Fastbraces® Technology patented bracket design uses unique, triangular shaped braces that allow for the use of just one super-elastic nickel-titanium wire during the treatment process. This brace technology works on an entirely different mechanical principle altogether. Historically, old braces would move the crown of the tooth in the first year, and the root of the tooth in the second year.
The Fastbraces® Technology helps move the crown and root of the teeth at the same time, from the beginning of the treatment. Patients can now get results often with less sensitivity, in about a year, and in some instances, just 3 months.
Upper Crowding

BEFORE

AFTER
Lower Crowding
BEFORE
AFTER
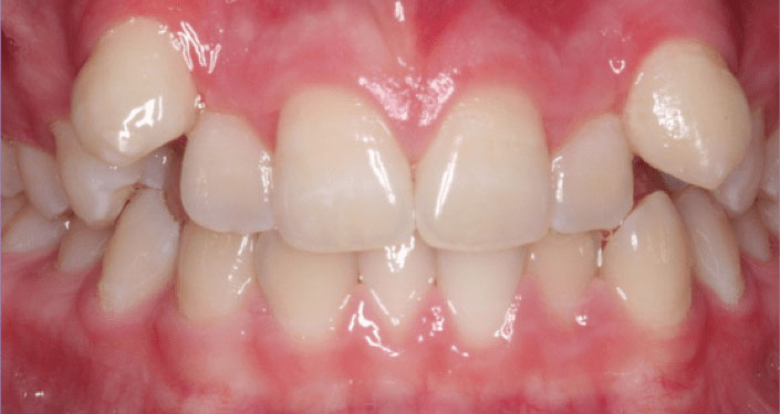
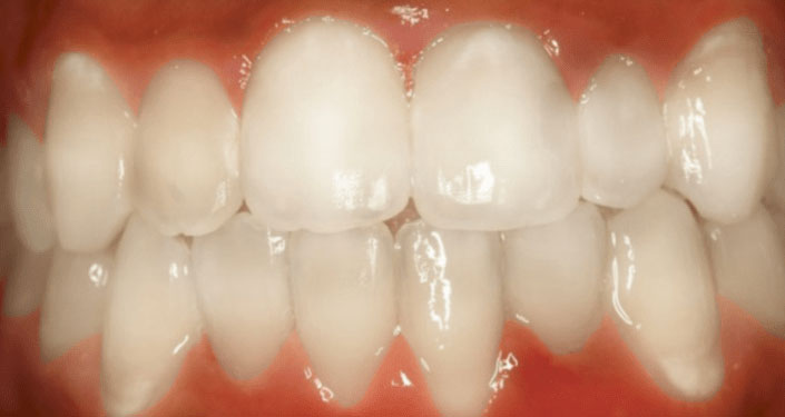
Upper and Lower Crowding
BEFORE
AFTER
Crowding and Crossbite
BEFORE
AFTER